
Cuando los huesos se fracturan y se produce una pérdida extrema de tejido, como después de un accidente automovilístico o una lesión en el campo de batalla, los tratamientos actuales no suelen lograr una curación eficaz. Sin embargo, ciertas células madre del músculo esquelético pueden mejorar la recuperación al producir todos los tipos de células necesarios para la curación de los huesos, según un estudio codirigido por científicos de la Facultad de Medicina Perelman de la Universidad de Pensilvania y publicado en las Actas de la Academia Nacional de Ciencias .
por la Facultad de Medicina Perelman de la Universidad de Pensilvania
«Un enfoque como este aprovecha las lecciones aprendidas y le da al cuerpo el impulso que necesita para curarse naturalmente de una manera mucho más eficiente y eficaz», afirmó el autor principal, el Dr. Ling Qin, profesor de Cirugía Ortopédica.
Evidencia de células musculares transformándose en hueso
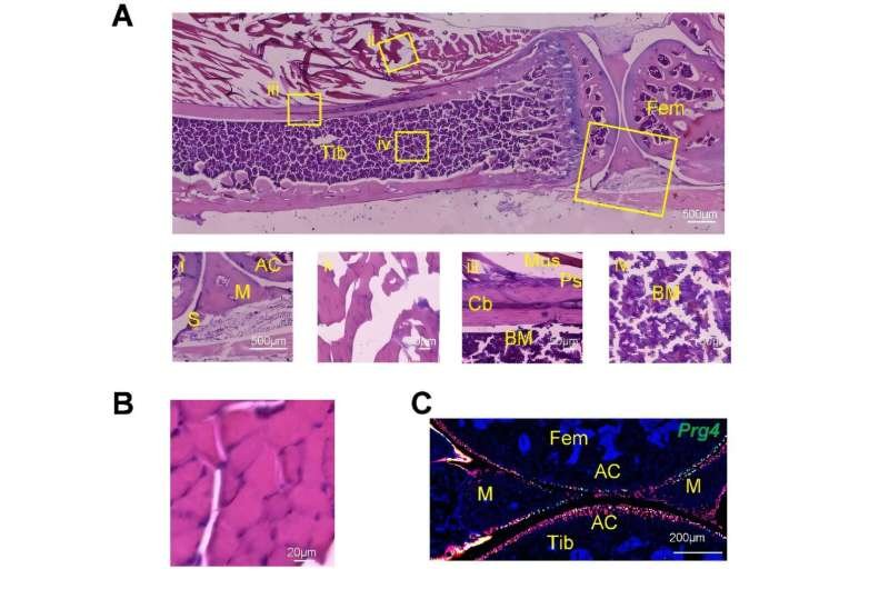
En modelos murinos, los investigadores demostraron que Prg4+, un tipo de célula madre que se origina en los músculos que sostienen el esqueleto, fue crucial para la reparación ósea, ya que las células podían transformarse de células musculares a células óseas. En el futuro, los investigadores creen que podrían estimular la actividad de las células Prg4+ en el propio cuerpo mediante factores de crecimiento o medicamentos de moléculas pequeñas, o incluso introducir la forma activada de estas células directamente en la fractura para acelerar la consolidación ósea.
La opinión generalizada es que la reparación de una fractura ósea se realiza principalmente mediante células madre del periostio, la membrana que recubre todos los huesos. Sin embargo, esta reparación no siempre funciona, a menudo en casos de «fracturas abiertas», cuando un hueso roto rompe la piel y suele conllevar una pérdida considerable de tejido blando. No se comprende del todo por qué ocurre esto.
Qin, su coautor Jaimo Ahn, Ph.D., profesor de Ortopedia en la Universidad Emory y ex investigador de Penn Medicine, y sus colegas descubrieron que Prg4+ era un tipo de progenitor fibroadipogénico (FAP), un tipo conocido de célula madre que se origina en el músculo esquelético .
El equipo de estudio observó que Prg4+ actúa como lo hace una empresa de restauración después de una inundación o un incendio en un edificio: se apresura al lugar del daño y se pone a trabajar en las reparaciones que hacen que la estructura vuelva a estar completa.
Prg4+ respondió rápidamente a las lesiones esqueléticas, migrando primero desde el músculo esquelético a la fractura. Posteriormente, se observó que Prg4+ producía todos los tipos de células necesarios para la reparación ósea (condrocitos, osteoblastos y osteocitos) entre el callo óseo (la estructura temporal que se forma en el hueso para guiar la consolidación) y el músculo esquelético.
Posteriormente, en huesos cicatrizados, los investigadores observaron que las células provenientes de las células Prg4+ originales se transformaron completamente en células óseas, listas para reparar posibles fracturas futuras dando lugar a células madre del periostio. Esto indicó, por primera vez, que las células madre pueden transformarse de músculo a hueso.
Para demostrar aún más la importancia de Prg4+, cuando los investigadores destruyeron deliberadamente las células Prg4+, ralentizaron significativamente la actividad de curación y reparación.
Potencial de lesiones simples o catastróficas
Actualmente, la mayoría de las prácticas de tratamiento para fracturas se centran en la curación del tejido óseo en sí. Sin embargo, Qin, Ahn y sus colegas han demostrado que un mayor énfasis en los músculos adyacentes a los huesos es clave para la curación de lesiones.
Si bien sus investigaciones son prometedoras para lesiones catastróficas como fracturas abiertas, estos hallazgos también podrían desempeñar un papel importante en lesiones más rutinarias.
«Esto podría tener un impacto real en zonas donde los músculos simplemente no son tan comunes, como la rodilla y el tobillo», explicó Ahn. «También podría tener un impacto significativo en los adultos mayores, cuya masa muscular disminuye de forma natural y la recuperación no se produce como antes».
Las investigaciones futuras, dijo Qin, se basarán en los hallazgos actuales y profundizarán en las capacidades de reparación de otras células madre progenitoras fibroadipogénicas (FAP).
Más información: Qi He et al., Los progenitores fibroadipogénicos de Prg4+ en el músculo son cruciales para la reparación de fracturas óseas, Actas de la Academia Nacional de Ciencias (2025). DOI: 10.1073/pnas.2417806122
Leyenda de imagen principal:
La expresión de Prg4 marca un subconjunto de FAP en el músculo esquelético. Crédito: Actas de la Academia Nacional de Ciencias (2025). DOI: 10.1073/pnas.2417806122
